Derrame cerebral: cuáles son los factores que no se pueden cambiar

Los accidentes cerebrovasculares se afianzan como uno de los mayores desafíos para la salud pública a nivel global. Las proyecciones oficiales anticipan un incremento sostenido de casos en los próximos años, con repercusiones tanto para los sistemas de salud como para la población en edad laboral.
Lejos de tratarse de un proceso inevitable ligado al envejecimiento, la evidencia científica y los organismos especializados señalan que una proporción considerable de estos eventos puede evitarse mediante medidas concretas y constantes.
El debate cobró fuerza tras las estimaciones difundidas por la Stroke Association, que advirtieron sobre un panorama preocupante si no se refuerzan las estrategias preventivas. Según la entidad, reducir el riesgo no depende de innovaciones tecnológicas complejas, sino de decisiones diarias relacionadas con el control de la presión arterial, la práctica de ejercicio y el manejo adecuado de enfermedades cardíacas.
De acuerdo con nuevas proyecciones, para 2035 podrían registrarse más de 151.000 accidentes cerebrovasculares anuales en el Reino Unido, es decir, unos 414 casos por día. Esto representaría un aumento cercano al 42% respecto a las cifras actuales, que rondan los 280 episodios diarios o 106.565 al año.
Este escenario refuerza la necesidad de adoptar acciones preventivas tanto a nivel individual como colectivo. Alexis Kolodziej, subdirector ejecutivo y responsable de influencia e investigación de la Stroke Association, señaló a The Independent que aún persisten ideas equivocadas en la sociedad.
Algunas personas consideran que el derrame cerebral es una consecuencia inevitable de la edad avanzada, pero, según Kolodziej, esa percepción es incorrecta.
La prevención como pilar
La organización sostiene que nueve de cada diez accidentes cerebrovasculares podrían prevenirse. Para ello, resultan clave los controles médicos periódicos, la adopción de hábitos saludables y la detección oportuna de trastornos cardíacos.
Tomar medidas para controlar la presión arterial, seguir recomendaciones de estilo de vida saludable y asegurarse de identificar y tratar afecciones del corazón puede reducir de forma significativa el riesgo de sufrir un accidente cerebrovascular, explicó Kolodziej.
Factores no modificables y nuevos patrones
La edad es el principal factor de riesgo que no puede cambiarse, y la mayoría de los casos ocurre en personas mayores de 70 años. Sin embargo, el especialista advirtió que la incidencia está creciendo con mayor rapidez entre adultos jóvenes. En menores de 55 años, los episodios suelen asociarse con factores vinculados al estilo de vida.
Hipertensión: un elemento decisivo
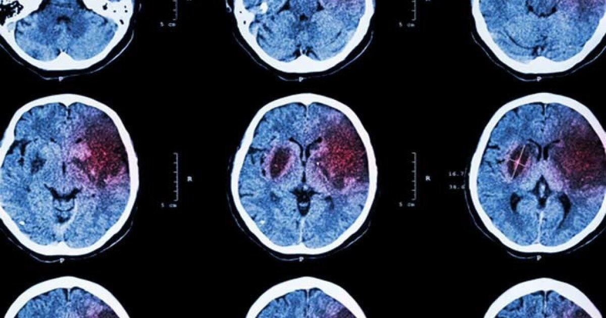
La presión arterial elevada está implicada en aproximadamente la mitad de los accidentes cerebrovasculares, tanto hemorrágicos como isquémicos. La hipertensión aumenta la presión sobre las arterias, especialmente en el cerebro, lo que puede provocar hemorragias. Además, el daño en el flujo sanguíneo favorece la formación de coágulos que pueden obstruir arterias cerebrales y desencadenar un evento isquémico.
Control y monitoreo
Medirse la presión con regularidad es una de las estrategias más efectivas para disminuir el riesgo. Kolodziej enfatizó que nunca es demasiado temprano para empezar a controlarla. En el Reino Unido, el NHS considera hipertensión una lectura persistente igual o superior a 140/90 mm Hg.
En adultos, una presión óptima se sitúa en 120/80 mm Hg. Valores sistólicos entre 120 y 129 mm Hg con una diastólica de 80 mm Hg se clasifican como presión normal alta, lo que indica la conveniencia de hacer ajustes en el estilo de vida para evitar que evolucione a hipertensión.
Movimiento, alimentación y sustancias
La actividad física regular favorece una circulación adecuada y reduce la probabilidad de formación de coágulos. Incluso actividades simples, como caminar o realizar tareas de jardinería, pueden contribuir a disminuir el riesgo.
El consumo excesivo de sal eleva la presión arterial, por lo que se recomienda prestar atención a los alimentos procesados y al etiquetado nutricional. El tabaquismo es otro factor determinante: dejar de fumar reduce el riesgo de manera casi inmediata. Asimismo, el alcohol y las drogas recreativas deben moderarse o evitarse por su impacto negativo sobre el sistema cardiovascular.
Afecciones cardíacas silenciosas
La fibrilación auricular multiplica hasta por cinco el riesgo de accidente cerebrovascular. Se trata de una alteración del ritmo cardíaco que con frecuencia no presenta síntomas evidentes.
Por ello, se aconseja controlar el pulso y realizar consultas médicas periódicas. Cuando se diagnostica fibrilación auricular, suele indicarse un anticoagulante oral diario, que previene la formación de coágulos y reduce de forma significativa el riesgo de sufrir un derrame cerebral.
ENFERMEDADES: Qué mosquitos transmiten la malaria y cómo protegerte
Un zumbido casi imperceptible al caer la noche puede representar el inicio de un problema de salud global: la malaria. Los mosquitos que la transmiten no son solo insectos molestos, sino vectores altamente eficientes capaces de introducir parásitos directamente en el organismo -- leer más
Noticias del tema